5. Kolorizovaná 3D snímka aorty z magnetickej rezonancie

4. Kolorizovaná 3D snímka žíl a tepien

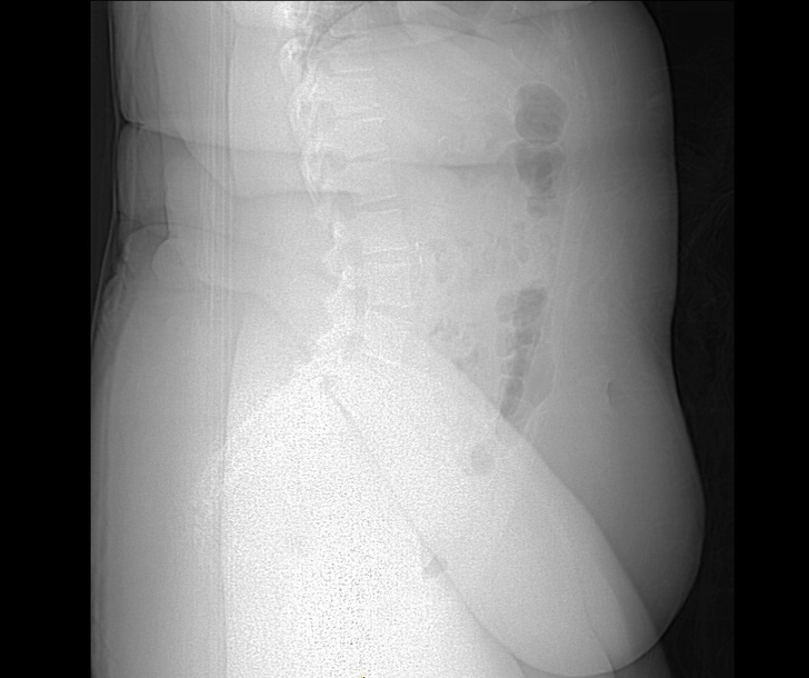
3. Röntgenová snímka osoby trpiacej obezitou. Prebytočné mäkké tkanivo sťažuje zobrazenie kostí

2. Snímka detskej ruky v porovnaní s rukou dospelého človeka

1. Tep srdca na videu z magnetickej rezonancie

Zdroj: BrightSide | topdesat
1 2
b
